Las caries dentales son uno de los trastornos más comunes, después del resfriado común. Suelen aparecer en los niños y en los adultos jóvenes, pero pueden afectar a cualquier persona y son la causa más importante de pérdida de los dientes, aproximadamente el 98% de la población peruana, padece de.....
esta infección, la cual inicialmente forma cavidades en el esmalte dental (región blanca o corona), la que sino es tratada posteriormente, avanza indefectiblemente hacia regiones más profundas, esto es el tejido de la dentina y posteriormente la pulpa, las que a su vez por tener terminaciones nerviosas, nos hacen sentir el dolor y los cambios de temperatura con mucha agudeza.
Origen de la Caries Dental
Dieta del individuo: La ingesta de alimentos de un sujeto lo provee de diversos nutrientes para su normal desenvolvimiento, entre los cuales tenemos a los carbohidratos, proteínas, lípidos, vitaminas y minerales. Se ha comprobado que la ingesta de carbohidratos refinados (azúcares, dulces, etc.) aumenta la posibilidad de que el individuo sufra de caries dental.
Bacterias: Se han encontrado diversos microorganismos en la flora bucal normal del individuo, entre los cuales tenemos al Lactobacillus Acidophillus, microorganismo encontrado en aproximadamente en el 4% de superficies dentarias no cariosas y en 20% de lesiones cariosas, así como el Streptococcus mutans, Streptococcus mitis y salivaris, entre otros.
El papel de los microorganismos es fundamental en el origen de la caries.
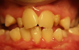
Mala posición de los dientes: Una posición dentaria equivocada en el maxilar puede conducir a la formación de cavidades cariosas simplemente porque el paciente no puede ejercer una acción higiénica eficaz. Rotaciones, inclinaciones o posiciones dentarias no correctas permiten que los alimentos (especialmente fibrosos) se retengan entre los espacios interdentarios. A consecuencia de ello, las piezas dentarias sufren de la acción de la caries con mayor facilidad.
La odontología tiene una solución bastante eficaz para este problema y de eso se ocupa una especialidad:
Dinámica de la Caries Dental
El individuo normalmente tiene en la cavidad oral un conjunto de microorganismos que mantienen el equilibrio entre salud y enfermedad. Estos microorganismos inclusive forman parte de la defensa e integridad de los órganos de la cavidad oral. Este conjunto de microorganismos y/o bacterias se denomina flora oral. Esta flora oral puede verse alterada en determinados casos, como por ejemplo el uso indiscriminado de antibióticos, los cuales pueden “barrer” con microorganismos que están en la línea de defensa, al haber desequilibrio se pueden manifestar enfermedades en tejidos blandos o duros (dientes). Asimismo, este equilibrio generalmente se altera cuando el individuo ingiere sus alimentos, especialmente los carbohidratos en forma refinada, es decir chocolates, galletas, dulces, etc., los cuales sino son retirados después de las comidas producen ácidos (producidos por la descomposición de los alimentos y bacterias), que son dañinos al esmalte dental cuando la higiene oral es regular o deficiente. Estos ácidos se forman con suma facilidad a partir de las dos horas subsiguientes de haber ingerido alimentos ricos en carbohidratos y asimismo con ayuda de elementos bacterianos presentes en las superficies dentarias sanas. Si a esto le aunamos una estructura dental débil, que por naturaleza es más permeable que la normal, podemos esperar que los dientes padezcan de caries. Pero si el individuo tiene el debido cuidado en la higiene oral (uso del cepillo e hilo dental) en forma adecuada, el riesgo de contraer esta enfermedad se verá disminuída ostensiblemente, porque por un lado los alimentos (caldo de cultivo) serán retirados con la higiene oral y al no haber residuos de alimentos en descomposición, la producción de ácido disminuirá drásticamente, y asimismo se verá menor posibilidad de que el esmalte dental sano sea afectado.
El problema de la caries dental puede ser controlado por el sujeto con bastante eficacia. Al individuo no se le puede prohibir comer pero sí es posible brindarle consejos útiles para su mejor cuidado dental:
2. Inculcar e instruír a los niños sobre la importancia y cuidado de los dientes. Recordemos que ellos aprenden muchas cosas por imitación de los tutores o progenitores.
3. Hacer uso adecuado de la dentadura. No abrir botellas con ellos o no triturar alimentos duros (caramelos, cancha, etc.) porque pueden fracturar la integridad del esmalte dental, abriendo una posibilidad para la aparición de caries.
4. Efectuar visitas periódicas al consultorio odontológico. El hacerlo nos provee de la información necesaria acerca del estado de nuestros dientes. Es recomendable una visita cada seis meses, aunque no se sienta ninguna molestia.
Les dejo este libro:
Cariología Clínica Bases Preventivas Y Restauradoras
Gustavo Moncada C. - Iván Urzúa A.
Formato: PDF
Páginas: 179
Idioma: Español
Tamaño: 13,5 MB Descargar






No hay comentarios:
Publicar un comentario